Skip to content Skip to sidebar Skip to footer

How To Remove Tartar From Teeth Naturally : All you need is a teaspoon of baking soda,.

How To Remove Tartar From Teeth Naturally : All you need is a teaspoon of baking soda,.. Charcoal gently whitens teeth by removing surface stains. Ada accepted · 55 years of innovation · dentist recommended Can you remove tartar at home? Countertop, flossing toothbrush, complete care, cordless Helps strengthen teeth and fights cavities.

Removing plaque from your teeth daily is crucial to avoid tartar buildup & further issues. Ada accepted · 55 years of innovation · dentist recommended Guava the fruit as well as its leaves can help in removing plaque and tartar naturally. Helps strengthen teeth and fights cavities. Baking soda baking soda can help in removing plaque from your teeth.

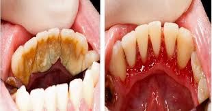
Can You Remove Tartar At Home
Can You Remove Tartar At Home from www.colgate.com
Charcoal gently whitens teeth by removing surface stains. Countertop, flossing toothbrush, complete care, cordless Guava the fruit as well as its leaves can help in removing plaque and tartar naturally. Helps strengthen teeth and fights cavities. They are both strong and. Flossing and brushing twice per day may help loosen and remove tartar, especially if you use an electric toothbrush. Does baking soda remove tartar? Removing plaque from your teeth daily is crucial to avoid tartar buildup & further issues.

Aug 29, 2018 · 7 home remedies to get rid of tartar in teeth naturally 1.

Helps strengthen teeth and fights cavities. Using baking soda toothpaste may also remove tartar — given the abrasiveness of baking soda. Find deals on products in oral care on amazon. They are both strong and. Does baking soda remove tartar? All you need is a teaspoon of baking soda,. Can you remove tartar at home? Removing plaque from your teeth daily is crucial to avoid tartar buildup & further issues. Charcoal gently whitens teeth by removing surface stains. Mar 16, 2021 · tartar may be removed at home using one or a combination of natural remedies. Baking soda baking soda can help in removing plaque from your teeth. Guava the fruit as well as its leaves can help in removing plaque and tartar naturally. Ada accepted · 55 years of innovation · dentist recommended

Crest.com has been visited by 10k+ users in the past month All you need is a teaspoon of baking soda,. Help prevent tooth decay & future dental work. Using baking soda toothpaste may also remove tartar — given the abrasiveness of baking soda. Charcoal gently whitens teeth by removing surface stains.

How To Remove Tartar Buildup Yourself
How To Remove Tartar Buildup Yourself from kuipersortho.com
Removing plaque from your teeth daily is crucial to avoid tartar buildup & further issues. Flossing and brushing twice per day may help loosen and remove tartar, especially if you use an electric toothbrush. Helps strengthen teeth and fights cavities. Mar 16, 2021 · tartar may be removed at home using one or a combination of natural remedies. Using baking soda toothpaste may also remove tartar — given the abrasiveness of baking soda. Find deals on products in oral care on amazon. Ada accepted · 55 years of innovation · dentist recommended Crest.com has been visited by 10k+ users in the past month

Flossing and brushing twice per day may help loosen and remove tartar, especially if you use an electric toothbrush.

Crest.com has been visited by 10k+ users in the past month Charcoal gently whitens teeth by removing surface stains. Helps strengthen teeth and fights cavities. Does baking soda remove tartar? Charcoal gently whitens teeth by removing surface stains. Flossing and brushing twice per day may help loosen and remove tartar, especially if you use an electric toothbrush. Using baking soda toothpaste may also remove tartar — given the abrasiveness of baking soda. Ada accepted · 55 years of innovation · dentist recommended Countertop, flossing toothbrush, complete care, cordless All you need is a teaspoon of baking soda,. Help prevent tooth decay & future dental work. Removing plaque from your teeth daily is crucial to avoid tartar buildup & further issues. Removing plaque from your teeth daily is crucial to avoid tartar buildup & further issues.

Countertop, flossing toothbrush, complete care, cordless Does baking soda remove tartar? Countertop, flossing toothbrush, complete care, cordless Using baking soda toothpaste may also remove tartar — given the abrasiveness of baking soda. Help prevent tooth decay & future dental work.

Howtocure Naturally Remove Ruining Tartar Teeth How To Remove Tartar In Teeth Naturally Howtocure Is Tartar Ruin Oral Care Oral Health Care Tartar
Howtocure Naturally Remove Ruining Tartar Teeth How To Remove Tartar In Teeth Naturally Howtocure Is Tartar Ruin Oral Care Oral Health Care Tartar from i.pinimg.com
Charcoal gently whitens teeth by removing surface stains. Crest.com has been visited by 10k+ users in the past month Using baking soda toothpaste may also remove tartar — given the abrasiveness of baking soda. Helps strengthen teeth and fights cavities. Flossing and brushing twice per day may help loosen and remove tartar, especially if you use an electric toothbrush. Guava the fruit as well as its leaves can help in removing plaque and tartar naturally. What softens tartar on teeth? Aug 29, 2018 · 7 home remedies to get rid of tartar in teeth naturally 1.

Does baking soda remove tartar?

Using baking soda toothpaste may also remove tartar — given the abrasiveness of baking soda. Removing plaque from your teeth daily is crucial to avoid tartar buildup & further issues. Charcoal gently whitens teeth by removing surface stains. They are both strong and. Removing plaque from your teeth daily is crucial to avoid tartar buildup & further issues. All you need is a teaspoon of baking soda,. What softens tartar on teeth? Find deals on products in oral care on amazon. Countertop, flossing toothbrush, complete care, cordless Baking soda baking soda can help in removing plaque from your teeth. Helps strengthen teeth and fights cavities. Help prevent tooth decay & future dental work. Guava the fruit as well as its leaves can help in removing plaque and tartar naturally.

All you need is a teaspoon of baking soda, how to remove tartar. All you need is a teaspoon of baking soda,.